Решение проблемы подвижности и боли в области верхнего центрального резца с использованием имплантации
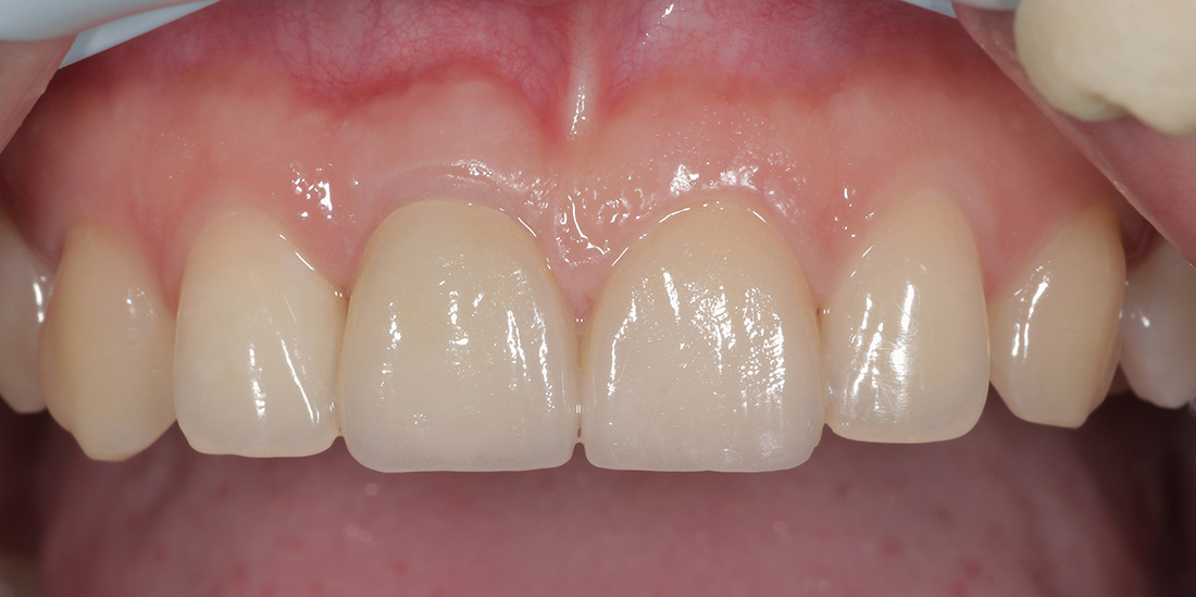
Исходная ситуация
Пациентка П., 26 лет. Обратилась с жалобами на подвижность и боли в области верхнего центрального резца. При клиническом и рентгенографическом обследовании выявлена внутриканальная резорбция корня, поперечный перелом и разрушение наружной костной стенки.
План лечения
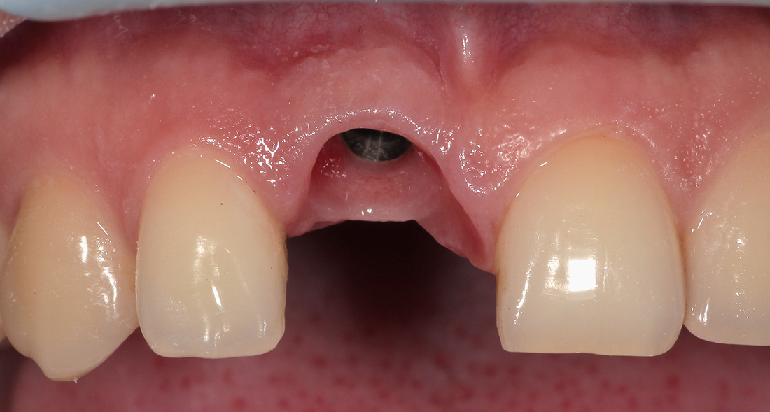
Для решения вопроса лечения было предложено два плана: классический-подразумевающий препарирование соседних зубов и изготовление мостовидного протеза; и наиболее прогрессивный- удаление зуба, непосредственная дентальная имплантация и изготовление временной коронки.
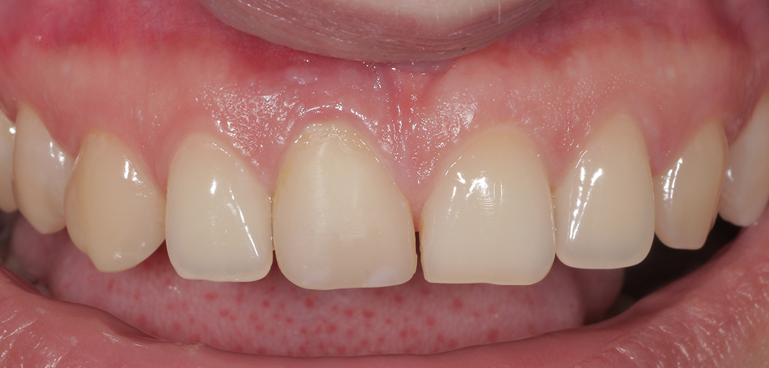
Перед нами стояла непростая задача воссоздать и даже улучшить исходную ситуацию, т.к. в условиях высокой линии улыбки и значительной потери мягких и твердых тканей, окончательная реставрация должны была быть максимально эстетичной.
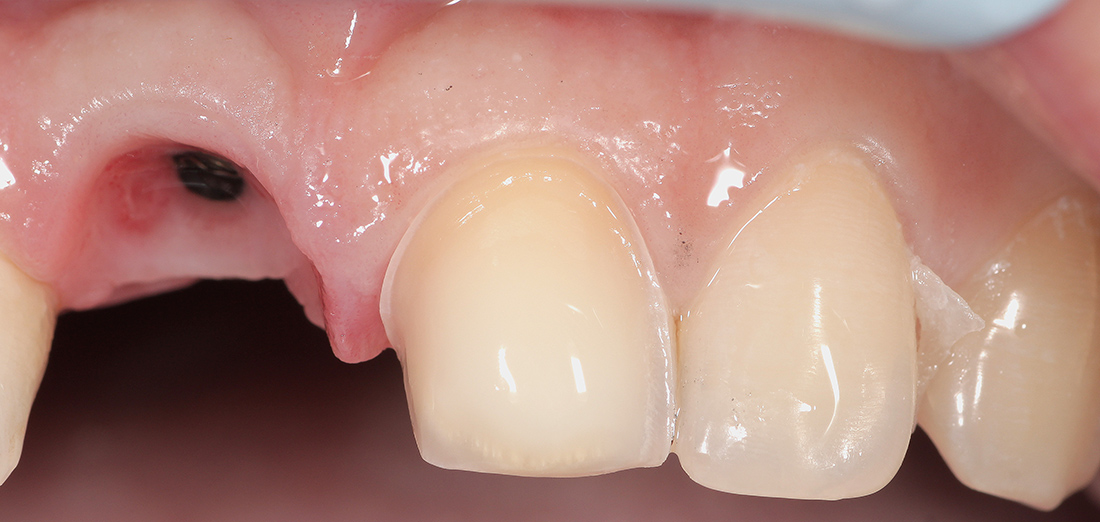
Под местной анестезией был удален зуб, установлен имплант, проведена пластика мягких тканей и фиксирована временная коронка. Через три месяца проведена оценка импланта, и мы перешли к замене временной коронки на постоянную. Опорой для коронки на импланте послужил индивидуальный циркониевый абатмен.
Для закрытия диастемы- промежутка между центральными зубами, было решено дополнительно изготовить винир на соседний зуб. Коронка и винир были изготовлены из цельнокерамического материала E.Max Press, позволяющего создать наиболее естественные и эстетические реставрации. Фиксация ортопедических конструкций была проведена за один этап.
Финальным результатом лечения остались довольны и пациентка, и мы.
Стоимость курса лечения
- Удаление зуба 3.700
- Дентальная имплантация ICXTemplant (Германия) 26.600
- Пластика мягких тканей 19.500
- Временное протезирование 6.350
- Цельнокерамическая коронка на индивидуальном циркониевом абатмен 28.600
- Керамический винир 15.800
Отзывы
Спасибо Вам и Вашему коллективу, за мою прекрасную улыбку и настроение на всю оставшуюся жизнь! Большое спасибо за хорошее отношение! Хочу пожелать Вам здоровья, благополучия, дальнейших успехов в работе. Спасибо.
Иванов Иван Иванович






