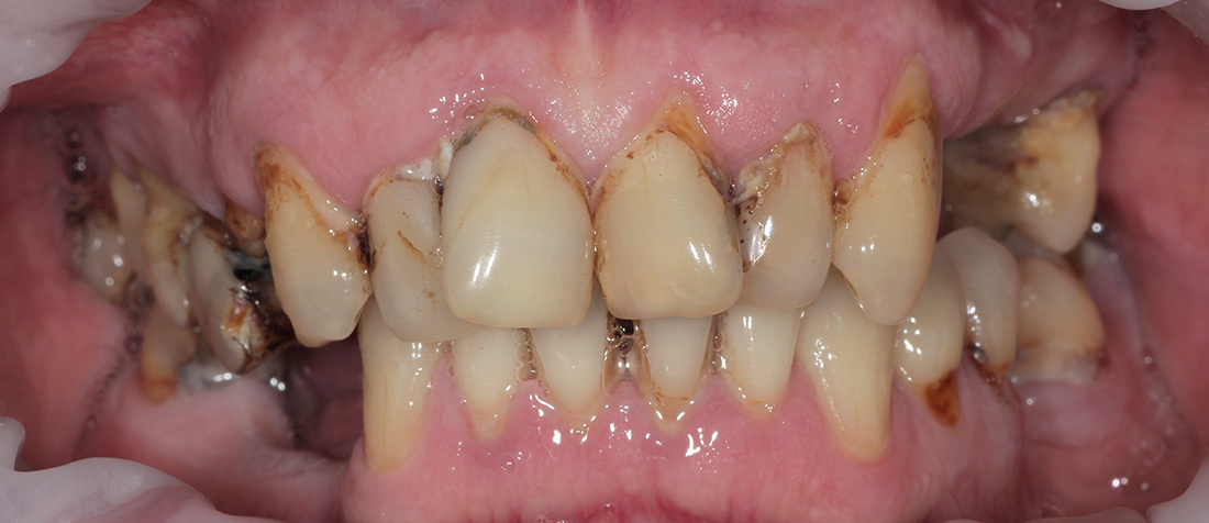
Очень сложная ситуация
Пациент М., 53 года. Очень сложная ситуация изначально... После обсуждения вариантов лечения мы пришли к следующему плану лечения.
- I этап: удаление зубов верхней челюсти с одномоментной установкой семи дентальных имплантов системы «ICX Templant» (Германия), восстановлением объёма костной ткани и изготовлением временной конструкции.
- II этап: удаление боковых зубов нижней челюсти с одномоментной установкой трех дентальных имплантов системы «ICX Templant» (Германия) и восстановлением объёма костной ткани.
После проведения предварительной санации, включавшей в себя профессиональную гигиену полости рта и лечения зубов, мы приступили к реализации лечебного плана. В течение одного дня, было проведено удаление зубов верхней челюсти с одномоментной пластикой и дентальной имплантацией, снятием оттисков под временную конструкцию.
Вторым этапом были удалены боковые зубы нижней челюсти, также с одномоментной имплантацией и пластикой тканей. Период интеграции имплантов протекал без особенностей и через четыре месяца после начала лечения мы перешли к окончательному протезированию.
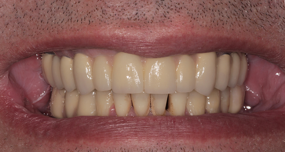
Окончательное протезирование было выполнено тремя металлокерамическими мостовидными конструкциями на верхней челюсти, мостовидным протезом внизу справа и отдельной коронкой на импланте в области шестого зуба нижней челюсти слева. Фиксация коронок проводилась на индивидуальные циркониевые абатмены одноэтапно.
Общий срок лечения составил порядка пяти месяцев.
- Дентальная имплантация ICX Templant (Германия) 10х26.600=266.000
- Костная пластика 3х23.100=69.300
- Протезирование верхней и нижней челюсти металлокерамическими коронками 16х8.400=134.400
- Индивидуальные циркониевые абатмены 10х10.500=105.000






